吉大二院实施省内首例脊髓电刺激术,为高位截瘫患者重燃新希望
工人日报-中工网记者 彭冰 柳姗姗 通讯员 金梓衡
颈椎骨折高位截瘫,是脊柱外科领域公认的“不治之症”,患者常面临终身瘫痪甚至呼吸衰竭的风险。近日,吉林大学第二医院吴敏飞教授团队通过“一期骨折复位固定+二期高位脊髓电刺激”的联合治疗方案,成功让一名颈椎骨折致高位截瘫患者部分恢复四肢运动功能。




据了解,该患者去年底因交通事故导致颈椎骨折脱位,高位截瘫,四肢完全丧失感觉能力。转诊至吉大二院后,吴敏飞教授团队迅速启动多学科会诊,凭借丰富的颈椎手术经验,在一期手术中精准完成颈椎骨折复位内固定手术,有效避免了脊髓二次损伤及呼吸衰竭等致命并发症,为后续治疗打下坚实基础。
随后,吴敏飞教授团队在吉林省首次引入高位脊髓神经电刺激器置入术(SCS),并经三维影像重建、神经电生理评估等10余项精密检查,决定为患者实施脊髓电刺激治疗。在二期手术中,手术团队利用先进数字医学技术,开创性地将微型电极精准植入患者脊髓损伤节段。患者接受程序化电刺激仅6小时,即能在电刺激辅助下实现下肢肌肉收缩。接受电刺激2周后,患者已能自主完成抬腿、屈膝等动作。目前患者已逐步恢复双侧膝关节屈伸、右侧手指抓握等关键功能,脚趾活动度显著提升,实现了从“瘫痪在床”到“对抗重力运动”的跨越。

吴敏飞教授进行脊髓电刺激器植入术

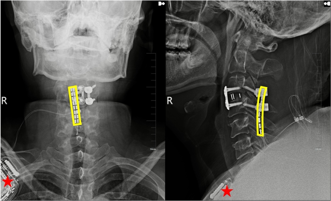
植入术后X线显示,黄色方框为电极位置,星号为皮下脉冲发射器位置
记者从吉大二院获悉,我国虽已将脊髓电刺激技术(SCS)应用于瘫痪康复领域,但传统方案多选择在损伤远端植入电极,疗效存在局限,且该技术此前未在吉林省落地。此次手术中,吴敏飞教授团队创新融合国际经验与本土实践,突破性地将电极植入在靠近脊髓损伤部位的高位脊髓,取得良好治疗效果,填补了吉林省SCS治疗高位截瘫的空白,为省内截瘫患者重新点燃了康复希望。

